
Розділ 9. Травматичні ушкодження тканин щелепно-лицевої ділянки
то значна асиметрія обличчя. Відкривання рота звичайно болісне, порушення
прикусу не відбувається. Може спостерігатися травма зубів — забиття, травма-
тична дистопія, перелом.
У більшості випадків (36 % від усіх переломів тіла нижньої щелепи) перело-
ми підркісні, типу „зеленої гілки", у разі яких періост тримає фрагменти щелеп
мов у футлярі. Такі переломи частіше виникають унаслідокдіїтравмівного аген-
та, незначного за силою у дітей з тимчасовим або з постійним прикусом.
Переломи щелепи, які відбулися за умови сильного удару та супроводжу-
вались зміщенням відламків, клінічно характеризуються наявністю гематоми,
рани у місці травмування м'яких тканин, болісністю і неможливістю відкри-
вання та закривання рота, кровотечею з тканин ясен, ранами слизової оболон-
Таблиця 12. Типове зміщення уламків нижньої щелепи за наявності її переломів
Місце
перелому
Однобічні
Двобічні
Менталь-
ний
Великий відламок під дією
m.mylohyideus, m.digastricus, частково
m.genioglossus та geniohyoideus,
зміщується донизу та зовні, а однобічна
дія m.pterygoideus lateralis et medialis
призводить ще й до зміщення у бік лінії
перелому.
Малий відламок.знаходиться під дією
м'язів, що піднімають нижню щелепу, а
саме m.pterygoideus lateralis et medialis,
m.masseter, m.temporalis на ураженому
боці, тому переміщується догори,
уперед і в бік ротової порожнини
Присередній уламок.під дією
m.mylohyideus, m.digastricus та genio-
glossus зміщується донизу та назад. У
такому разі язик лишається без
підтримки m.genioglossus і м'язів дна
ротової порожнини, переміщується
також назад, може западати, чим
спричиняє асфікцію, закриваючи вхід до
гортані.
Бічні відламки зміщуються догори,
уперед та внутрішньо під дією
m.pterygoideus medialis et lateralis
У ділянці
кута
Зміщення відламків відбувається у тих
же напрямках, що і в разі ментального
перелому, але ступінь переміщення їх
відносно один одного більш виражений
Це зумовлено тим, що малий відламок
(гілка щелепи), по-перше, менший за
розміром, ніж у разі ментального пере-
лому, і тому він легше переміщується
(догори і внутрішньо), по-друге - в
основному він знаходиться під впливом
m.pterygoideus lateralis et medialis,
m.temporalis, вектор дії яких слрямо-
ваний догори, уперед та всередину
Механізм та напрямок зміщення від-
ламків той же, що і в разі ментального
перелому.
Бічні відламки переміщуються відносно
серединного догори, уперед та
внутрішньо.
Присередній відламок у цьому варіанті
перелому більш урівноважений м'язами
і тому незначно зміщується донизу та
назад
Сугло-
бовий
Великий відламок за рахунок однобіч-
ної дії m.pterygoideus lateralis et medialis
на неураженому боці переміщується у
бік лінії перелому, що проявляється
зміщенням центральної лінії нижньої
щелепи.
Малий відламок під дією m.pterygoideus
lateralis на ураженому боці
переміщується донизу та всередину
Присередній відламок майже не
зміщується, бо м'язова тяга
врівноважена.
Малі відламки зміщуються донизу та
всередину
Присе-
редній
Відламки урівноважені м'язовою тягою,
зміщення практично не відбувається
352
ки та окістя, відсутністю одного або кількох зубів, порушенням прикусу. Ос-
таннє залежить від того, в якому напрямку зміщені уламки щелепи. Механізм
зміщення уламків нижньої щелепи наведено в табл.12.
У разі присередніх переломів зміщення уламків не відбувається за умови
вертикальної лінії перелому або розташування у ній одного із центральних
різців, тому клінічно порушення прикусу немає. Останнє відбувається тоді, коли
лінія перелому проходить під кутом, але звичайно це зміщення уламків незнач-
не, бо останні врівноважуються м'язами.
Ментальні переломи, а також переломи у ділянці молярів (одно- або
двобічні) завжди будуть характеризуватися наявністю одно- чи двобічного
відкритого прикусу з контактом лише на кутніх зубах; пальпаторно по краю
нижньої щелепи виявляється симптом сходинки, тобто зміщення поверхонь
уламків, крепітація їх під час бімануального дослідження з одного чи обох боків.
У разі двобічного ментального перелому (якщо є значне зміщення присеред-
нього уламка дозаду та донизу) можливе виникнення дислокаційної асфіксії.
За умови однобічного перелому кута нижньої щелепи серединна лінія
зміщується .у хворий бік і з цього ж боку формується відкритий прикус, а за
наявності двобічного вона лишається посередині, але теж утворюється відкри-
тий прикус.
Для однобічних переломів виросткового відростка, які частіше виникають
у разі падіння на підборіддя, характерним є: 1) обмежене відкривання рота та
наявність болісного набряку привушної ділянки; 2) асиметрія обличчя за раху-
нок зміщення щелепи у бік перелому; 3) біль з боку перелому під час надавлю-
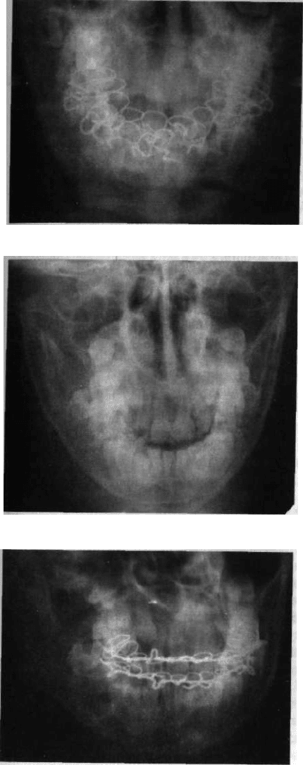
вання на підборіддя; 4) зміщення середньої лінії у хворий бік (мал. 266). Урахо-
вуючи наявність рани на підборідді, лікар пункту невідкладної допомоги пови-
нен ретельно обстежити дитину для виключення відбитого перелому вирост-
кового відростка.
У разі двобічного перелому виросткових відростків у дітей віком до
7 років зміщення відламків практично не відбувається, а частіше виникають пе-
реломо-вивихи головки або переломи шийок виросткового відростка типу зеле-
ної гілки. Тоді дитину турбує біль у СНЩС під час жування та натискання на
підборіддя. У дітей старшого віку пере-
важають переломи виросткових
відростків зі зміщенням, тоді обидві
гілки нижньої щелепи зміщуються до-
гори, а нижня щелепа — назад й упи-
рається молярами в моляри верхньої
щелепи, тому виникає відкритий і дис-
тальний прикус.
Під час визначення у дітей діагно-
зу "перелом нижньої щелепи" виника-
ють певні труднощі: 1) під час збору
Мал. 266. Прикусудитини з переломом пра-
. , . анамнезу та встановлення механізму
вого виросткового відростка (стрілками по-
}
значено зміщення центральної лінії різців у бік травми діти не можуть проаналізувати
перелому) свої відчуття, точно охарактеризувати
353