202
УКЛАДКИ
устанавливают строго перпендикулярно поверхности стола-транспортера, а голову больного
фиксируют таким образом, чтобы боковые оптические центраторы располагались на ор-
бито-меатальной линии. Затем штатив наклоняют на 20° по направлению к головному
концу стола-транспортера (рис. 185). Если плоскость томографического слоя выбирают
по обзорной цифровой рентгенограмме, то угол наклона штатива определяют по костным
ориентирам черепа: орбито-меатальной линии или линии, параллельной дну задней череп-
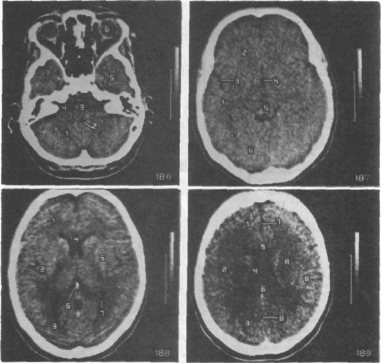
ной ямки (рис. 186).
9 Примерная программа для исследования головного мозга: 1) выбор напряжения гене-
рирования рентгеновского излучения и экспозиции зависит от технических характеристик
имеющейся КТ-установки. Например, для компьютерного томографа «Соматом-2» опти-
мальными условиями являются: напряжение генерирования излучения—125 кВ, экспози-
ция — 460 мАс. При исследовании области основания черепа целесообразно применять
максимально возможную экспозицию; 2) оптимальная толщина исследуемого слоя: 2—
4 мм — в зоне основания черепа и 8—10 мм — в области его свода, при этом структуры
задней черепной ямки целесообразно изучать по двухмиллиметровым томографическим
срезам; 3) определение оптимального количества срезов: при обзорном исследовании
всего мозга достаточно 5—8 срезов, для целенаправленного исследования мозжечка —
4—6 срезов. Если в последующем предполагается реконструкция изображения в иных, чем
аксиальная, плоскостях или используется методика усиления изображения, то количество
срезов обычно удваивается; 4) определение исходного уровня исследования. Им является
орбито-меатальная линия (ОМЛ). Для задней черепной ямки оптимальная плоскость томо-
графического среза соответствует —20° каудально от орбито-меатальной линии (ОМЛ — 20°);
5) используемое контрастное вещество. При необходимости с целью усиления получаемого
изображения внутривенно вводят 40—50 мл 60—70% раствора, а при динамической КТ —
20—40 мл 60% раствора водорастворимого йодсодержащего рентгеноконтрастного ве-
щества.
Информативность срезов. Вследствие высокой разрешающей способности КТ на
получаемых срезах хорошо различаются желудочки и цистерны мозга, а также его белое
и серое вещество. Коэффициент поглощения рентгеновского излучения у белого вещества
составляет 28—30 Н, у серого — 32—36 Н; показатель плотности ликворсодержащих про-
странств колеблется от —2 до +6 Н. После введения рентгеноконтрастного вещества плот-
ность ткани мозга возрастает на 2—3 Н.
В срезе на уровне среднего мозга (рис. 187) прослеживаются: вещество височных (1)
и лобных (2) долей, латеральные (сильвиевы) борозды мозга (3), III желудочек мозга (4),
средний мозг (5), затылочные доли (6).
Томографический слой на уровне базальных ядер конечного мозга (рис. 188) содержит
изображение вещества лобных (1), височных (2) и затылочных (3) долей, передних рогов
боковых желудочков мозга (4). Здесь же хорошо видны базальные ядра конечного моз-
га (5), шишковидное тело (6) и сосудистые сплетения в задних рогах боковых желудочков
мозга (7).
На уровне тел боковых желудочков мозга (рис. 189) визуализируются белое (А) и се-
рое (В) вещество лобных (1), теменных (2) и затылочных (3) долей, тела боковых желудоч-
ков мозга (4), колено (5) и валик (6) мозолистого тела, передние (7) и задние (8) отделы
серпа мозга.
На компьютерных томограммах, произведенных на уровне полуовальных центров
(рис. 190), хорошо видны: серое вещество лобных (1) и теменных (2) долей, их белое
вещество—полуовальные центры (3), серп мозга, идущий в продольной борозде (4), верх-
ний сагиттальный синус (5).
Клиническая информативность исследования. Возможности выяв-
ления различных патологических образований и состояний головного мозга с помощью
КТ связаны с различным ослаблением рентгеновского излучения нормальными и патоло-
гически измененными тканями. Так, в норме соотношение плотностей всех структурных
элементов мозговой ткани (белки, структурные липиды, вода и т. д.) является стабильным.
При патологических же процессах оно меняется. Например, увеличение содержания воды
во внутри- или внеклеточном пространстве приводит к снижению плотности ткани, что наблю-
дается при отеке мозга. Именно поэтому низкоплотным оказывается содержимое боль-
шинства мозговых кист.
Если ткань опухоли богата кровеносными сосудами или степень дифференцировки
ее клеток низкая, то такой патологический очаг выглядит, как правило, плотнее вещества
мозга (рис. 191), а плотность его возрастает после внутривенного введения рентгено-
контрастного вещества (рис. 192, а, б). Если же клеточные элементы опухоли находятся
на высокой стадии дифференциации или ткань ее бедна сосудами, то она будет выглядеть
на компьютерных томограммах как низкоплотное объемное патологическое образование.
Наряду с денситометрическими показателями, важным критерием оценки КТ-изобра-
жения является также нарушение пространственных анатомо-топографических взаимоотно-