175
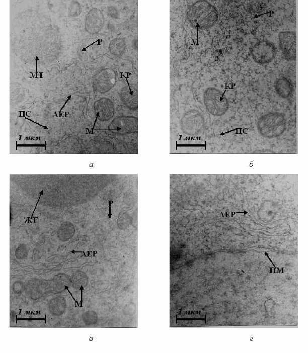
Мітохондрії більш глибоких шарів цитоплазми, що
прилягають до жовткових гранул, зберігають цілісність крист, але
внутрішні та зовнішні їхні мембрани є частково ушкодженими.
Жовткові гранули мають невисоку електронну щільність,
порівняно з попередніми стадіями розвитку (рис. 4.13, в).
Між мітохондріями міститься велика кількість частково
дезорганізованих рибосом та полісом, первинні лізосоми, канали
гранулярного та агранулярного ЕПР. Також у цитоплазмі наявні
скупчення розгалуженої системи мікроміхурців та канальців.
Поверхня бластомерів покрита цитоплазматичною
мембраною, яка в деяких місцях є розпушеною та пошкодженою
(рис. 4.13, г).
Якщо в середовищі інкубації наявні катіони кобальту,
концентрація яких становить 10
-4
М, ультраструктура бластомерів
зародків в’юна на шостій годині розвитку є зміненою, порівняно з
контролем.
Гіалоплазмі бластомерів цих зародків характерна низька
електронна щільність. Цитоплазма заповнена частково
дезорганізованими рибосомами та полісомами, мітохондріями,
каналами гранулярного та агранулярного ЕПР, розгалуженою
системою міхурців і канальців (рис. 4.14, а).
Жовткові гранули мають нижчу, ніж на більш ранніх
стадіях розвитку, електронну щільність.
Мітохондрії мають округлу форму, розміщені невеликими
скупченнями, кристи їхні частково розпушені, як і зовнішні та
внутрішні мембрани. В деяких місцях кристи мітохондрій майже
повністю зруйновані і являють собою скупчення ліпопротеїдного
матеріалу (рис. 4.14, б).