
туры некоторых очаговых теней
становятся размытыми, в окру-
жающей легочной ткани появля-
ются новые очаговые тени малой
интенсивности. В очагах могут
быть обнаружены участки дест-
рукции, а вокруг очагов призна-
ки бронхита и лимфангита
(рис. 10.12, 10.13). Значительная
давность процесса и отсутствие
тенденции к прогрессированию
проявляются преобладанием
признаков фиброзного уплотне-
ния легочной ткани и плевры.
Очаги смещаются в область вер-
хушки легкого и постепенно
трансформируются в фиброзные
образования.
Туберкулезное поражение
бронхиального дерева у больных со свежим очаговым туберку-
лезом легких при фибробронхоскопии диагностируют редко.
Оно может иметь место при реактивации эндогенной туберку-
лезной инфекции во внутригрудных лимфатических узлах. В
этих случаях иногда выявляют нодулобронхиальный свищ.
Однако чаще на слизистой оболочке бронха виден рубец как
след перенесенного в первичном периоде туберкулеза бронха.
При хроническом очаговом туберкулезе во время бронхоско-
пии можно обнаружить деформацию бронхов и диффузный
неспецифический эндобронхит.
В общем анализе крови у большинства больных очаговым
туберкулезом изменений нет. У некоторых больных выявляют
небольшое увеличение содержания палочкоядерных нейтро*
филов, лимфопению или лимфоцитоз, повышение СОЭ (не
более 10—18 мм/ч).
При иммунологическом исследовании можно обнаружить не-
значительные сдвиги показателей гуморального и клеточного
иммунитета, чаще у больных со свежим очаговым туберкулезом.
ОВД при очаговом туберкулезе обычно не нарушается. Не-
значительные нарушения дыхания у отдельных больных обу-
словлены интоксикацией, а не поражением паренхимы легко-
го. Под влиянием интоксикации могут также наблюдаться та-
хикардия, лабильность артериального давления.
Верифицировать диагноз очагового туберкулеза посредством
традиционно применяемых в медицинской практике исследо-
ваний часто не удается. В этих случаях целесообразно исполь-
зовать молекулярно*биологические методы диагностики, в ча-
стности ПЦР.
Для уточнения туберкулезной этиологии очагов в легких
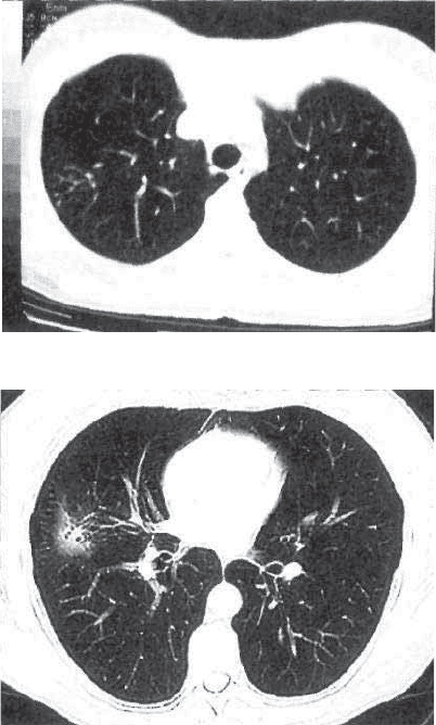
Рис. 10.6. Свежий очаговый
туберкулез легких. Полость
распада в очаге. КТ.
213