Саркоидоз легких II стадии, как и подострый гематогенно*
диссеминированный туберкулез, может протекать бессим-
птомно. Заболевание выявляют при контрольной флюорогра-
фии или рентгенологическом исследовании. В других случаях
больные обращаются за медицинской помощью в связи с по-
явлением умеренно выраженных симптомов интоксикации,
кашля с небольшим количеством мокроты, одышки, периоди-
чески возникающих болей в груди. Течение саркоидоза у
большинства больных доброкачественное со склонностью к
спонтанному рассасыванию гранулематозных поражений. При
дифференциальной диагностике диссеминированного тубер-
кулеза и саркоидоза легких учитывают, что саркоидозом чаще
заболевают женщины. Нередко при саркоидозе наблюдают
полное несоответствие между большими размерами внутри*
грудных лимфатических узлов и изменениями в легких, с од-
ной стороны, и хорошим самочувствием больного — с другой.
Одышка у больных саркоидозом бывает относительно редко.
Характерна системность поражения — это не только лимфати-
ческая система и легкие, но и глаза, кости, печень, сердце,
околоушные железы. На коже голеней примерно у
1
/4 больных
наблюдают узловатую эритему. Реакция на туберкулин отри-
цательная или слабоположительная. Характерны гиперкаль*
циемия и повышение количества гамма*глобулинов в крови.
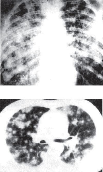
Рентгенологическое исследование наряду с увеличением внут*
ригрудных лимфатических узлов выявляет наибольшее скоп-
ление очагов в средних и нижних отделах легких. При брон-
хоскопии на слизистой оболочке бронхов могут быть обнару-
жены саркоидные гранулемы. Сканирование с изотопом
67
Ga
позволяет обнаружить его накопление в лимфатических узлах.
Верифицируют диагноз саркоидоза биопсией с гистологиче-
ским исследованием лимфатического узла, слизистой оболоч-
ки бронха или ткани легкого. Для получения материала при-
меняют медиастиноскопию, бронхоскопию, видеоторакоско-
пию. В биоптате обнаруживают свежую или рубцующуюся
эпителиоидно*клеточную гранулему без перифокального экс*
судативного воспаления и казеозного некроза. В поздних ста-
диях саркоидная гранулема подвергается гиалинизации и
фиброзу.
Множественные мелкие метастазы злокачественной опухоли
в легкие (карциноматоз) в большинстве случаев наблюдаются у
больных, которые уже были оперированы или прошли другое
лечение по поводу онкологического заболевания. Однако
иногда метастазы в легких обнаруживают раньше первичной
опухоли.
Основными клиническими проявлениями карциноматоза
являются упорный сухой кашель и некупируемая одышка. Со-
стояние больных обычно прогрессивно ухудшается. При рент-
генологическом исследовании выявляют густую мелкоочаго*
198