472
Æèðîâèé ãåïàòîç
Æèðîâèé ãåïàòîç (ñèíîí³ìè: æèðîâà äèñòðîô³ÿ ïå÷³íêè, æè-
ðîâà ³íô³ëüòðàö³ÿ àáî îæèð³ííÿ ïå÷³íêè, ñòåàòîç ïå÷³íêè) õðî-
í³÷íå çàõâîðþâàííÿ, ÿêå õàðàêòåðèçóºòüñÿ ï³äâèùåíèì íàêîïè-
÷åííÿì æèðó â ãåïàòîöèòàõ.
Åò³îëîã³ÿ ³ ïàòîãåíåç. Æèðîâèé ãåïàòîç âèíèêຠï³ä 䳺þ íà
ïå÷³íêó òîêñè÷íèõ ðå÷îâèí 1(àëêîãîëü, ³íñåêòèöèäè, äåÿê³
ë³êàðñüê³ ïðåïàðàòè), åíäîêðèííî-ìåòàáîë³÷íèõ ïîðóøåíü (öóêðî-
âèé ä³àáåò, çàãàëüíå îæèð³ííÿ), ïîðóøåíîãî õàð÷óâàííÿ (äåô³öèò
ë³ïîòðîïíèõ ôàêòîð³â, âæèâàííÿ â õàð÷îâèõ ïðîäóêòàõ íàäì³ðíî¿
ê³ëüêîñò³ æèð³â òà âóãëåâîä³â) ³ ã³ïîêñ³¿ (ñåðöåâî-ñóäèííà, ëåãåíå-
âà íåäîñòàòí³ñòü, àíå쳿 òà ³í.).
Çíà÷íå ì³ñöå â ðîçâèòêó æèðîâîãî ãåïàòîçó íàëåæèòü õðîí³÷í³é
àëêîãîëüí³é ³íòîêñèêàö³¿ ðîçâèâàºòüñÿ àëêîãîëüíèé ñòåàòîç
ïå÷³íêè; âñòàíîâëåíî áåçïîñåðåäí³é âïëèâ àëêîãîëþ íà ïå÷³íêó.
Ïðÿìå îêèñíåííÿ â òàêèõ óìîâàõ ñòຠíàéá³ëüø àäåêâàòíèì.
Âíàñë³äîê öüîãî ñèíòåç òðèãë³öåðèä³â â ïå÷³íö³ ïîñèëþºòüñÿ, ìî-
á³ë³çàö³ÿ æèðíèõ êèñëîò ³ç æèðîâèõ äåïî ï³äâèùóºòüñÿ, à âèêî-
ðèñòàííÿ ¿õ â ïå÷³íö³ çíèæóºòüñÿ. Òðèãë³öåð³äè, ÿê³ ïðè öüîìó óò-
âîðþþòüñÿ, º ³íåðòíèìè ñïîëóêàìè ³ íå øêîäÿòü ñèíòåòè÷íèì
ïðîöåñàì, ùî â³äáóâàþòüñÿ â ãåïàòîöèòàõ. Òàêèìè îáñòàâèíàìè ³
ìîæíà ïîÿñíèòè òðèâàë³ñòü ñòåàòîçó ïðè àëêîãîëüí³é ³íòîêñèêàö³¿.
 ðîçâèòêó æèðîâîãî ãåïàòîçó ìຠçíà÷åííÿ ê³ëüê³ñòü óæèòî-
ãî àëêîãîëþ, à òàêîæ òðèâàë³ñòü âæèâàííÿ éîãî (ðîêàìè), õî÷à çíà÷-
íå ì³ñöå çàéìàþòü ³íäèâ³äóàëüí³ îñîáëèâîñò³ ïå÷³íêè ìåòàáîë³çó-
âàòè àëêîãîëü.
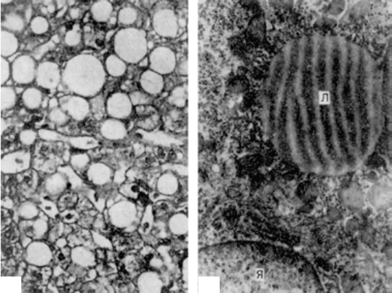
Ïàòîëîã³÷íà àíàòîì³ÿ. Ïå÷³íêà ïðè ñòåàòîç³ çá³ëüøåíà, æîâ-
òà àáî ÷åðâîíî-êîðè÷íåâà, ç ãëàäêîþ ïîâåðõíåþ. Ïðè ì³êðîñêîï³÷-
íîìó äîñë³äæåíí³ â ãåïàòîöèòàõ çíàõîäÿòü æèð, ÿêèé â³äíîñèòü-
ñÿ äî òðèãë³öåðèä³â. Îæèð³ííÿ ãåïàòîöèò³â ìîæå áóòè ïèëîïî-
ä³áíèì, äð³áíî- ³ âåëèêîêðàïåëüíèì (ìàë. 213). Êðàïëèíà ë³ï³ä³â
â³äò³ñíÿº â³äíîñíî çáåðåæåí³ îðãàíåëè íà ïåðèôåð³þ êë³òèíè, ÿêà
ñòຠïðè öüîìó ïåðñíåïîä³áíîþ (äèâ. ìàë. 213). Æèðîâà ³íô³ëüòðà-
ö³ÿ ìîæå îõîïëþâàòè ïîîäèíîê³ ãåïàòîöèòè (òàê çâàíå äèñåì³íî-
âàíå îæèð³ííÿ), ãðóïè ãåïàòîöèò³â (çîíàëüíå îæèð³ííÿ) àáî âñþ
ïàðåíõ³ìó ïå÷³íêè (äèôóçíå îæèð³ííÿ).  îäíèõ âèïàäêàõ (³íòîê-
ñèêàö³ÿ, ã³ïîêñ³ÿ) îæèð³ííÿ ãåïàòîöèò³â ðîçâèâàºòüñÿ ïåðåâàæíî
öåíòðîëîáóëÿðíî, â ³íøèõ (á³ëêîâî-â³òàì³ííà íåäî-
ñòàòí³ñòü, çàãàëüíå îæèð³ííÿ) ïåðåâàæíî ïåðèïîðòàëü-
í î. Ïðè ð³çê³é æèðîâ³é ³íô³ëüòðàö³¿ êë³òèíè ïå÷³íêè ãèíóòü,
æèðîâ³ êðàïëèíè çëèâàþòüñÿ ì³æ ñîáîþ ³ óòâîðþþòü ïîçàêë³òèííî
ðîçòàøîâàí³ æèðîâ³ ê³ñòè, íàâêîëî ÿêèõ âèíèêຠêë³òèííà ðåàê-
ö³ÿ, à â ïîäàëüøîìó ðîçâèâàºòüñÿ ñïîëó÷íà òêàíèíà.